missing translation for 'onlineSavingsMsg'
Learn More
Learn More
Invitrogen™ FTO Polyclonal Antibody

Rabbit Polyclonal Antibody
Marca: Invitrogen™ PA589791
Questo articolo non è restituibile.
Consulta la politica di reso
Descrizione
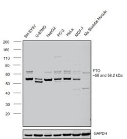
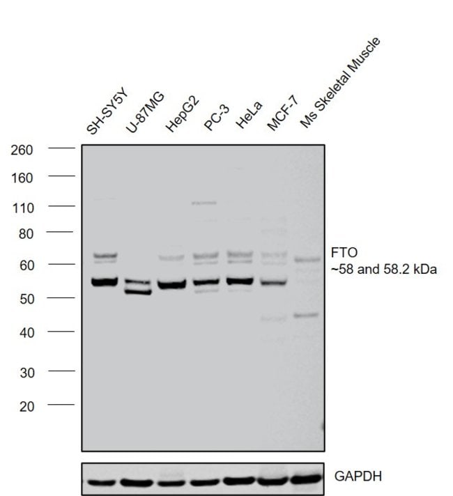
Positive Samples: 293T; Cellular Location: Nucleus, Nucleus speckle.
FTO is a novel protein and a member of the non-heme dioxygenase (Fe(II)-and 2-oxoglutarate-dependent dioxygenases) superfamily. Amino acid conservation patterns support this hypothesis and indicates that both 2-oxoglutarate and iron should be important for FTO function. Though not much is yet known about FTO, it is thought that the protein may somehow modify the activity of genes involved in metabolism and fat storage, which in turn may influence a person's risk of obesity.
Specifica
| FTO | |
| Polyclonal | |
| Unconjugated | |
| Fto | |
| AlkB homolog 9; ALKBH9; alpha-ketoglutarate-dependent dioxygenase FTO; AW743446; BMIQ14; fat mass and obesity associated; fat mass and obesity-associated protein; fatso; FTO; GDFD; KIAA1752; m6A(m)-demethylase FTO; MGC5149; mKIAA1752; mRNA (2'-O-methyladenosine-N(6)-)-demethylase FTO; mRNA N(6)-methyladenosine demethylase FTO; Protein fatso; protein fto; RGD1305121; tRNA N1-methyl adenine demethylase FTO; U6 small nuclear RNA (2'-O-methyladenosine-N(6)-)-demethylase FTO; U6 small nuclear RNA N(6)-methyladenosine-demethylase FTO | |
| Rabbit | |
| Affinity Chromatography | |
| RUO | |
| 26383, 291905, 79068 | |
| -20°C, Avoid Freeze/Thaw Cycles | |
| Liquid |
| ELISA, Immunoprecipitation, Western Blot | |
| 0.35 mg/mL | |
| PBS with 50% glycerol and 0.05% ProClin 300; pH 7.3 | |
| Q2A121, Q8BGW1, Q9C0B1 | |
| Fto | |
| Recombinant protein (or fragment). | |
| 100 μL | |
| Primary | |
| Human, Mouse, Rat | |
| Antibody | |
| IgG |
Correzione del contenuto del prodotto
Fornite il vostro feedback sul contenuto del prodotto compilando il modulo sottostante.
Titolo del prodotto
Individuate un'opportunità di miglioramento?Condividi una correzione di contenuto