missing translation for 'onlineSavingsMsg'
Learn More
Learn More
Descrizione
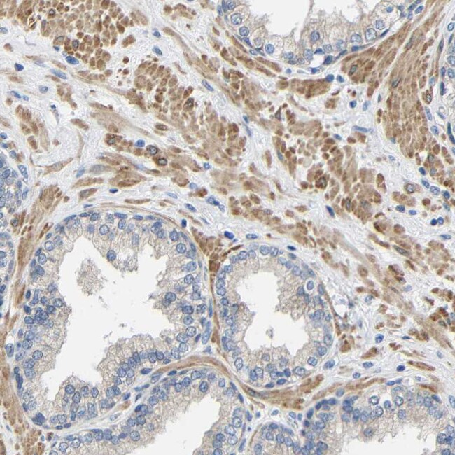
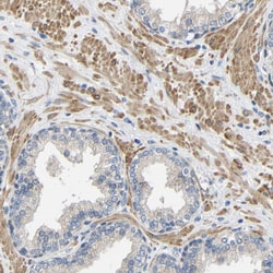
Immunogen sequence: AGGDKWSVDP RVSISTLNKR DYSLQIQNVD VTDDGPYTCS VQTQHTPRTM QVHLTVQVPP KIYDISNDMT VNEGTNVTLT CLATGKPEPS ISWRHISPSA KPFENGQYLD IYGITRDQAG EYECSA Highest antigen sequence identity to the following orthologs: Mouse - 98%, Rat - 98%.
May be involved in cell-adhesion. May function as a trans-neural growth-promoting factor in regenerative axon sprouting in the mammalian brain.
Specifica
Specifica
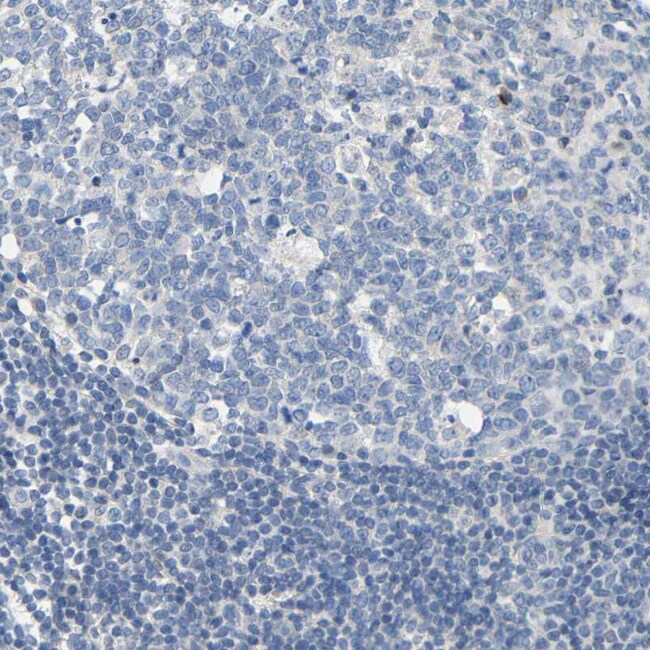
| Antigene | NEGR1 |
| Applicazioni | Immunohistochemistry (Paraffin), Immunocytochemistry |
| Classificazione | Polyclonal |
| Concentrazione | 0.10 mg/mL |
| Coniugato | Unconjugated |
| Formulazione | PBS with 40% glycerol and 0.02% sodium azide; pH 7.2 |
| Gene | NEGR1 |
| N. accesso geni | Q7Z3B1 |
| Alias gene | 5330422G01Rik; a kindred of IgLON; DMML2433; IgLON family member 4; IGLON4; Kiaa3001; KILON; kilon protein; kindred of IgLON; NEGR1; Neuronal growth regulator 1; neurotractin; Ntra; UNQ2433; UNQ2433/PRO4993 |
| Simboli geni | NEGR1 |
| Vedi altri risultati |
Titolo del prodotto
Facendo clic su Invia, l'utente riconosce che potrebbe essere contattato da Fisher Scientific in merito al feedback fornito in questo modulo. Non condivideremo le vostre informazioni per altri scopi. Tutte le informazioni di contatto fornite saranno conservate in conformità con la nostra Politica sulla privacy. Informativa sulla privacy.
Individuate un'opportunità di miglioramento?
