Learn More
Invitrogen™ c-Rel Monoclonal Antibody (1E7)

Mouse Monoclonal Antibody
Marca: Invitrogen™ MA515859
Descrizione
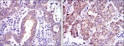
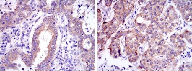
MA5-15859 targets c-Rel in indirect ELISA, IF and IHC applications and shows reactivity with Human and mouse samples. MA5-15859 targets c-Rel in WB against recombinant c-Rel and transfected cell lysates only. The MA5-15859 immunogen is purified recombinant fragment of human c-Rel expressed in E. Coli. MA5-15859 detects c-Rel which has a predicted molecular weight of approximately 78 kDa.
The REL gene encodes c-Rel, a transcription factor that is a member of the Rel/NFKB family, which also includes RELA., RELB (604758), NFKB1, and NFKB2. These proteins are related through a highly conserved N-terminal region termed the 'Rel domain, ' which is responsible for DNA binding, dimerization, nuclear localization, and binding to the NFKB inhibitor (Belguise and Sonenshein, 2007).
Specifica
| c-Rel | |
| Monoclonal | |
| Conc. Not Determined | |
| Ascites with 0.03% sodium azide | |
| P15307, Q04864 | |
| REL | |
| Purified recombinant fragment of human c-Rel expressed in E. Coli. | |
| RUO | |
| 19696, 5966 | |
| Store at 4°C short term. For long term storage, store at -20°C, avoiding freeze/thaw cycles. | |
| Liquid |
| ELISA, Immunohistochemistry (Paraffin), Western Blot, Immunocytochemistry | |
| 1E7 | |
| Unconjugated | |
| REL | |
| BCD541; C-Rel; C-Rel protein; C-Rel proto-oncogene protein; gemin 1; gemin-1; LOW QUALITY PROTEIN: proto-oncogene c-Rel; oncogene REL, avian reticuloendotheliosis; proto-oncogene c-Rel; REL; REL proto-oncogene, NF-kB subunit; reticuloendotheliosis oncogene; SMA; SMA1; SMA2; SMA3; SMA4; SMN; SMN2; SMNT; v-rel avian reticuloendotheliosis viral oncogene homolog; v-rel reticuloendotheliosis viral oncogene homolog | |
| Mouse | |
| 100 μL | |
| Primary | |
| Human, Mouse | |
| Antibody | |
| IgG1 |
Fornite il vostro feedback sul contenuto del prodotto compilando il modulo sottostante.