missing translation for 'onlineSavingsMsg'
Learn More
Learn More
Invitrogen™ Cardiac Troponin T Recombinant Rabbit Monoclonal Antibody (SC64-03)

Rabbit Recombinant Monoclonal Antibody
Marca: Invitrogen™ MA541157
Questo articolo non è restituibile.
Consulta la politica di reso
Descrizione
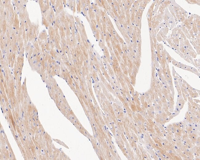
Cardiac Troponin T Recombinant Monoclonal Antibody for Western Blot, IHC (P), ICC/IF
Cardiac Troponin T is the tropomyosin-binding subunit of the troponin complex, which is located on the thin filament of striated muscles and regulates muscle contraction in response to alterations in intracellular calcium ion concentration. Cardiac Troponin T is important in proper muscle function and myofibril formation. In the human heart, four cTnT isoforms are expressed in a developmentally regulated manner. Cardiac Troponin T expression in the human heart is affected by heart failure. Mutations within the Cardiac Troponin T protein have been associated with familial hypertrophic cardiomyopathy as well as with dilated cardiomyopathy. Transcripts for the Cardiac Troponin T gene undergo alternative splicing that results in many tissue-specific isoforms.
Specifica
| Cardiac Troponin T | |
| Recombinant Monoclonal | |
| 1 mg/mL | |
| TBS with 0.05% BSA, 40% glycerol and 0.05% sodium azide; pH 7.4 | |
| P45379, P50752, P50753 | |
| TNNT2 | |
| Synthetic peptide within C-terminal human Cardiac Troponin T. | |
| 100 μL | |
| Primary | |
| Human, Mouse, Rat | |
| Antibody | |
| IgG |
| Immunohistochemistry (Paraffin), Western Blot, Immunocytochemistry | |
| SC64-03 | |
| Unconjugated | |
| TNNT2 | |
| alternatively spliced; cardiac muscle troponin T; cardiac TnT; cardiac troponin 2; cardiac troponin 2 adult #1 isoform; cardiac troponin 2 adult #2 isoform; cardiac troponin 2 embryonic #1 isoform; cardiac troponin 2 embryonic #2 isoform; cardiac troponin 2, exclusion exon 6 #1 isoform; cardiac troponin 2, exclusion exon 6 #2 isoform; cardiac troponin T; cardiac troponin T form I; cardiac troponin T isoform 1; cardiac troponin T isoform 2; cardiac troponin T isoform I; cardiac troponin T2; cardiomyopathy, dilated 1D (autosomal dominant); cardiomyopathy, hypertrophic 2; CMD1D; CMH2; CMPD2; cTnT; Ctt; CTTG; LVNC6; MGC3889; RATCTTG; RCM3; TNNT2; Tnnt3; Tnt; TnTc; troponin T; Troponin T cardiac; troponin T cardiac isoform; troponin T isoform 1; troponin T isoform 2; troponin T splicing mutant isoform 1; troponin T splicing mutant isoform 2; troponin T type 2 (cardiac); troponin T, cardiac muscle; Troponin T, cardiac muscle isoforms; Troponin T2; troponin T2, cardiac; troponin T2, cardiac type; truncated cardiac troponin T | |
| Rabbit | |
| Protein A | |
| RUO | |
| 21956, 24837, 7139 | |
| Store at 4°C short term. For long term storage, store at -20°C, avoiding freeze/thaw cycles. | |
| Liquid |
Correzione del contenuto del prodotto
Fornite il vostro feedback sul contenuto del prodotto compilando il modulo sottostante.
Titolo del prodotto
Individuate un'opportunità di miglioramento?Condividi una correzione di contenuto