missing translation for 'onlineSavingsMsg'
Learn More
Learn More
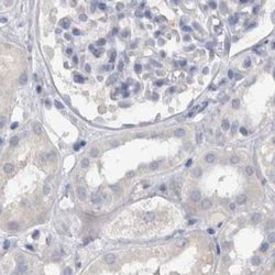
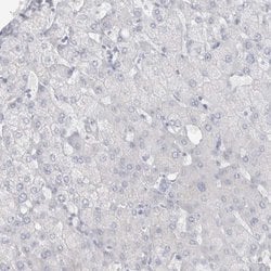
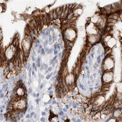
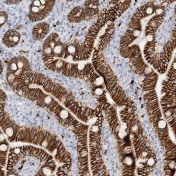
Invitrogen™ CDH17 Polyclonal Antibody

Rabbit Polyclonal Antibody
Marca: Invitrogen™ PA555342
Questo articolo non è restituibile.
Consulta la politica di reso
Descrizione
Immunogen sequence: GTKVGNVTAK DPEGLDISYS LRGDTRGWLK IDHVTGEIFS VAPLDREAGS PYRVQVVATE VGGSSLSSVS EFHLILMDVN DNPPRLAKDY T Highest antigen sequence identity to the following orthologs: Mouse - 80%, Rat - 80%.
CDH17 gene is a member of the cadherin superfamily, genes encoding calcium-dependent, membrane-associated glycoproteins. The encoded protein is cadherin-like, consisting of an extracellular region, containing 7 cadherin domains, and a transmembrane region but lacking the conserved cytoplasmic domain. The protein is a component of the gastrointestinal tract and pancreatic ducts, acting as an intestinal proton-dependent peptide transporter in the first step in oral absorption of many medically important peptide-based drugs. The protein may also play a role in the morphological organization of liver and intestine. Alternative splicing results in multiple transcript variants.
Specifica
| CDH17 | |
| Polyclonal | |
| Unconjugated | |
| Cdh17 | |
| BILL-cadherin; Cadherin; cadherin 17; cadherin 17, LI cadherin (liver-intestine); cadherin-16; cadherin-17; CDH16; CDH17; FLJ26931; HPT1; HPT-1; HPT-1 cadherin; HPT-1/LI; human intestinal peptide-associated transporter HPT-1; human peptide transporter 1; intestinal peptide-associated transporter HPT-1; LI cadherin; LI-cadherin; Liver-intestine cadherin; MGC138218; MGC142024; P130 | |
| Rabbit | |
| Antigen affinity chromatography | |
| RUO | |
| 1015 | |
| Store at 4°C short term. For long term storage, store at -20°C, avoiding freeze/thaw cycles. | |
| Liquid |
| Immunohistochemistry (Paraffin), Western Blot | |
| 0.2 mg/mL | |
| PBS with 40% glycerol and 0.02% sodium azide; pH 7.2 | |
| Q12864 | |
| Cdh17 | |
| Recombinant protein corresponding to Human CDH17. Recombinant protein control fragment (Product #RP-93740). | |
| 100 μL | |
| Primary | |
| Human | |
| Antibody | |
| IgG |
Correzione del contenuto del prodotto
Fornite il vostro feedback sul contenuto del prodotto compilando il modulo sottostante.
Titolo del prodotto
Individuate un'opportunità di miglioramento?Condividi una correzione di contenuto