missing translation for 'onlineSavingsMsg'
Learn More
Learn More
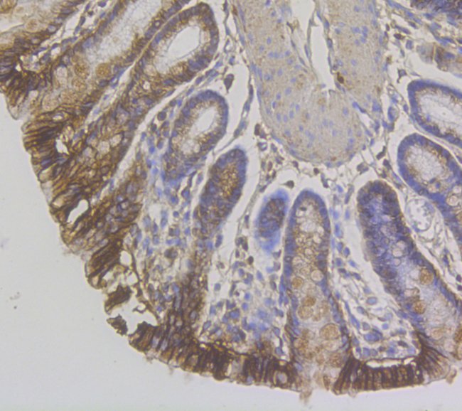
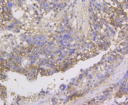
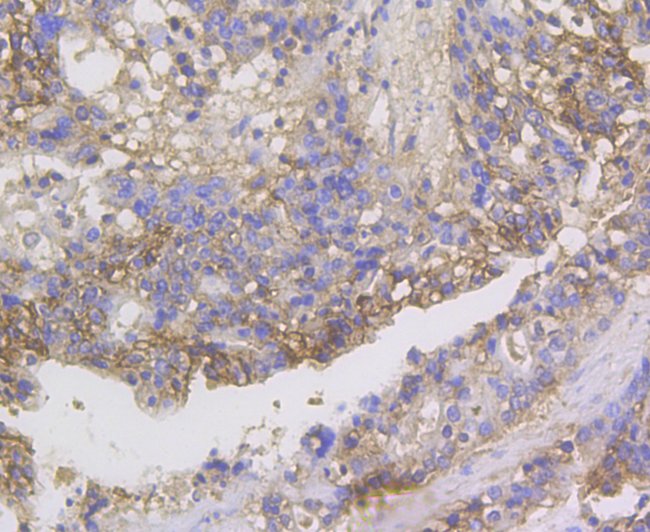
Invitrogen™ CDH17 Polyclonal Antibody

Rabbit Polyclonal Antibody
Marca: Invitrogen™ PA5109326
Questo articolo non è restituibile.
Consulta la politica di reso
Descrizione
Positive Control: Human colon tissue, PANC-1, rat colon tissue, human appendix tissue, human stomach cancer tissue, mouse small intestine tissue.
CDH17 gene is a member of the cadherin superfamily, genes encoding calcium-dependent, membrane-associated glycoproteins. The encoded protein is cadherin-like, consisting of an extracellular region, containing 7 cadherin domains, and a transmembrane region but lacking the conserved cytoplasmic domain. The protein is a component of the gastrointestinal tract and pancreatic ducts, acting as an intestinal proton-dependent peptide transporter in the first step in oral absorption of many medically important peptide-based drugs. The protein may also play a role in the morphological organization of liver and intestine. Alternative splicing results in multiple transcript variants.
Specifica
| CDH17 | |
| Polyclonal | |
| Unconjugated | |
| Cdh17 | |
| BILL-cadherin; Cadherin; cadherin 17; cadherin 17, LI cadherin (liver-intestine); cadherin-16; cadherin-17; CDH16; CDH17; FLJ26931; HPT1; HPT-1; HPT-1 cadherin; HPT-1/LI; human intestinal peptide-associated transporter HPT-1; human peptide transporter 1; intestinal peptide-associated transporter HPT-1; LI cadherin; LI-cadherin; Liver-intestine cadherin; MGC138218; MGC142024; P130 | |
| Rabbit | |
| Antigen affinity chromatography | |
| RUO | |
| 1015 | |
| -20°C, Avoid Freeze/Thaw Cycles, store in dark | |
| Liquid |
| Immunohistochemistry (Paraffin), Western Blot, Immunocytochemistry | |
| 1 mg/mL | |
| PBS with 0.2% BSA, 50% glycerol and 0.05% sodium azide; pH 7.4 | |
| Q12864 | |
| Cdh17 | |
| Recombinant protein within Human CDH17 aa 33-210. | |
| 100 μL | |
| Primary | |
| Human | |
| Antibody | |
| IgG |
Correzione del contenuto del prodotto
Fornite il vostro feedback sul contenuto del prodotto compilando il modulo sottostante.
Titolo del prodotto
Individuate un'opportunità di miglioramento?Condividi una correzione di contenuto