missing translation for 'onlineSavingsMsg'
Learn More
Learn More
Invitrogen™ Phospho-TDP-43 (Ser409, Ser410) Polyclonal Antibody

Rabbit Polyclonal Antibody
Marca: Invitrogen™ PA5114661
Questo articolo non è restituibile.
Consulta la politica di reso
Descrizione
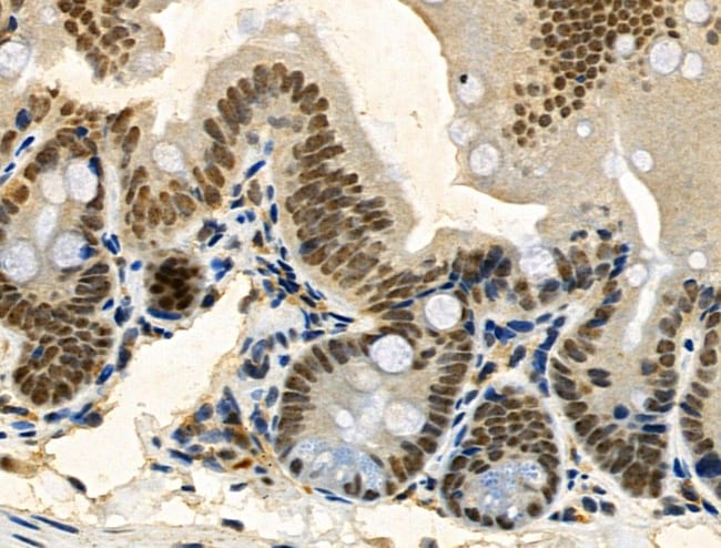
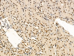
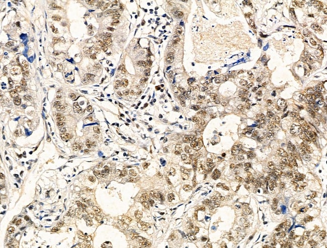
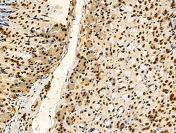
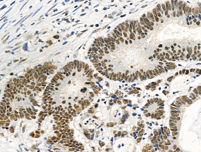
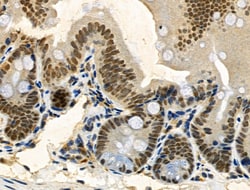
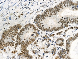
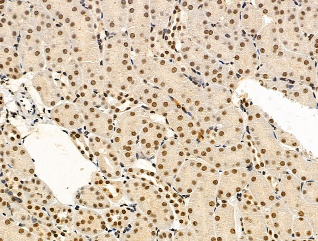
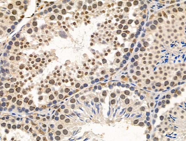
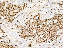
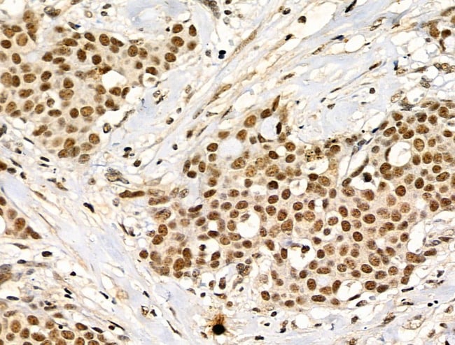
Antibody detects endogenous levels of TDP43 only when phosphorylated at Ser409/410.
TDP43 was first identified as a novel cellular protein that binds to HIV-1 virus TAR DNA sequence motifs and acts a transcriptional repressor to the HIV-1 LTR. Later experiments revealed that TDP43 also regulates the splicing of exon 9 of the cystic fibrosis transmembrane conductance regular (CFTR), most likely through the association with the UG repeats at the 3'e; splice site. A hyperphosphorylated, ubiquitinated, and cleaved form of TDP43 known as pathologic TDP43 is the major disease protein in ubiquitin-positive, tau-, and alpha-synuclein-negative frontotemporal dementia (FLTD-U). TDP43 is not related to TRBP1, and RNA binding protein that binds HIV-1 TAR RNA sequences.
Specifica
| Phospho-TDP-43 (Ser409, Ser410) | |
| Polyclonal | |
| Unconjugated | |
| TARDBP | |
| 1190002A23Rik; ALS10; C85084; hypothetical protein; OTTHUMP00000002171; OTTHUMP00000002173; RCJMB04_5g9; RP4-635E18.2; TAR DNA binding protein; TAR DNA binding protein L homeolog; TAR DNA-binding protein 43; TAR DNA-binding protein-43; tardbp; tardbp.L; Tdp43; TDP-43; wu:fb77f02; wu:fc52g10; XELAEV_18035188mg | |
| Rabbit | |
| Sequential chromatography | |
| RUO | |
| 230908, 23435, 298648 | |
| -20°C | |
| Liquid |
| Immunohistochemistry (Paraffin), Western Blot, Immunocytochemistry | |
| 1 mg/mL | |
| PBS with 50% glycerol and 0.02% sodium azide; pH 7.4 | |
| Q13148, Q921F2 | |
| TARDBP | |
| A synthesized peptide derived from human TDP43 around the phosphorylation site of Ser409/410. | |
| 100 μL | |
| Primary | |
| Human, Mouse, Rat | |
| Antibody | |
| IgG |
Correzione del contenuto del prodotto
Fornite il vostro feedback sul contenuto del prodotto compilando il modulo sottostante.
Titolo del prodotto
Individuate un'opportunità di miglioramento?Condividi una correzione di contenuto