missing translation for 'onlineSavingsMsg'
Learn More
Learn More
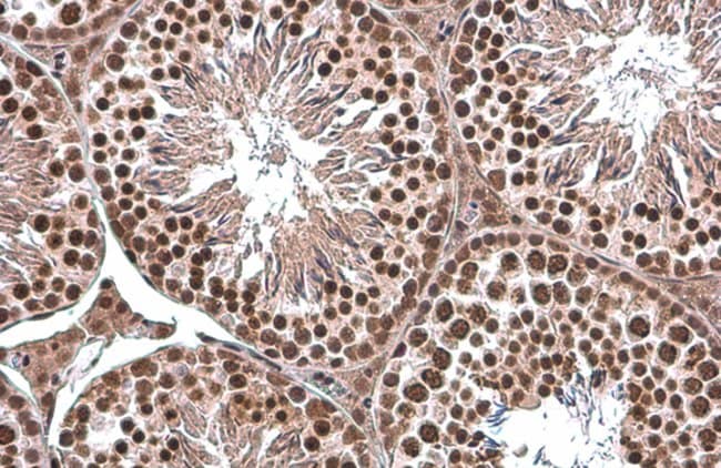
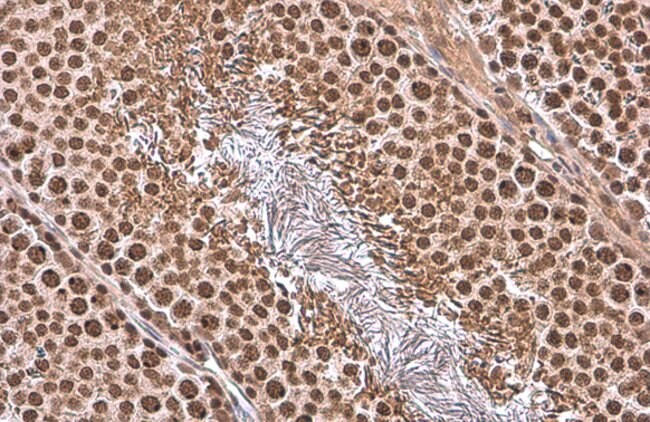
Invitrogen™ TBP Polyclonal Antibody

Rabbit Polyclonal Antibody
Marca: Invitrogen™ PA585773
Questo articolo non è restituibile.
Consulta la politica di reso
Descrizione
Keep as concentrated solution. Predicted reactivity: Mouse (100%), Rat (100%), Chicken (100%), Chimpanzee (100%), Bovine (100%). Positive Control: 293T, A431, HeLa, HepG2. Store product as a concentrated solution. Centrifuge briefly prior to opening the vial.
RICH1 is a GTPase-activating protein (GAP). GAPs stimulate the intrinsic GTP hydrolysis of small G proteins, such as RHOA, RAC1, and CDC42.
Specifica
| TBP | |
| Polyclonal | |
| Unconjugated | |
| Tbp | |
| Gtf2d; GTF2D1; HDL4; MGC117320; MGC126054; MGC126055; RP1-191N21.3; SCA17; TATA binding protein; TA-TA binding protein 1; TATA box binding protein; TATA sequence-binding protein; TATA-binding factor; TATA-binding protein; TATA-box binding protein; TATA-box binding protein N-terminal domain; TATA-box factor; tata-box-binding; TATA-box-binding protein; TBP; TBP0; TBP1; TF2D; TFIID; TFIID core protein; transcription initiation factor TFIID TBP subunit; Unknown (protein for MGC:138100) | |
| Rabbit | |
| Antigen affinity chromatography | |
| RUO | |
| 117526, 21374, 6908 | |
| Store at 4°C short term. For long term storage, store at -20°C, avoiding freeze/thaw cycles. | |
| Liquid |
| Immunohistochemistry (Paraffin), Western Blot | |
| 0.82 mg/mL | |
| PBS with 20% glycerol and 0.025% ProClin 300; pH 7 | |
| P20226, P29037 | |
| Tbp | |
| Carrier-protein conjugated synthetic peptide encompassing a sequence within the N-terminus region of human TBP. The exact sequence is proprietary. | |
| 100 μL | |
| Primary | |
| Human, Mouse, Rat | |
| Antibody | |
| IgG |
Correzione del contenuto del prodotto
Fornite il vostro feedback sul contenuto del prodotto compilando il modulo sottostante.
Titolo del prodotto
Individuate un'opportunità di miglioramento?Condividi una correzione di contenuto